Ultrasonography.  2014 Jan;33(1):11-17.

General principles of carotid Doppler ultrasonography

Affiliations
  • 1Department of Radiology, Seoul National University College of Medicine, Seoul, Korea. whal.lee@gmail.com

Abstract

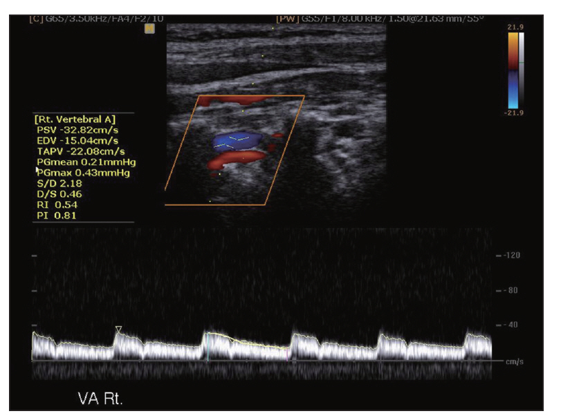
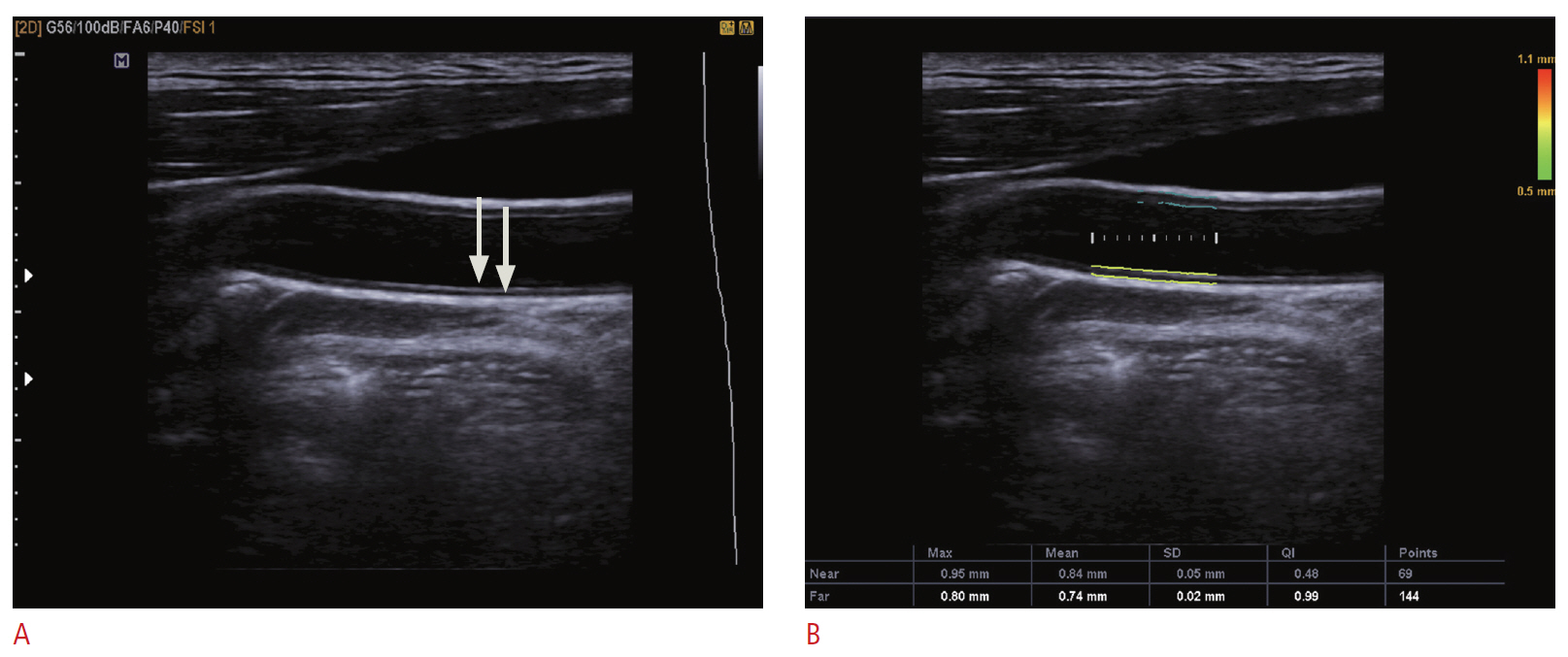
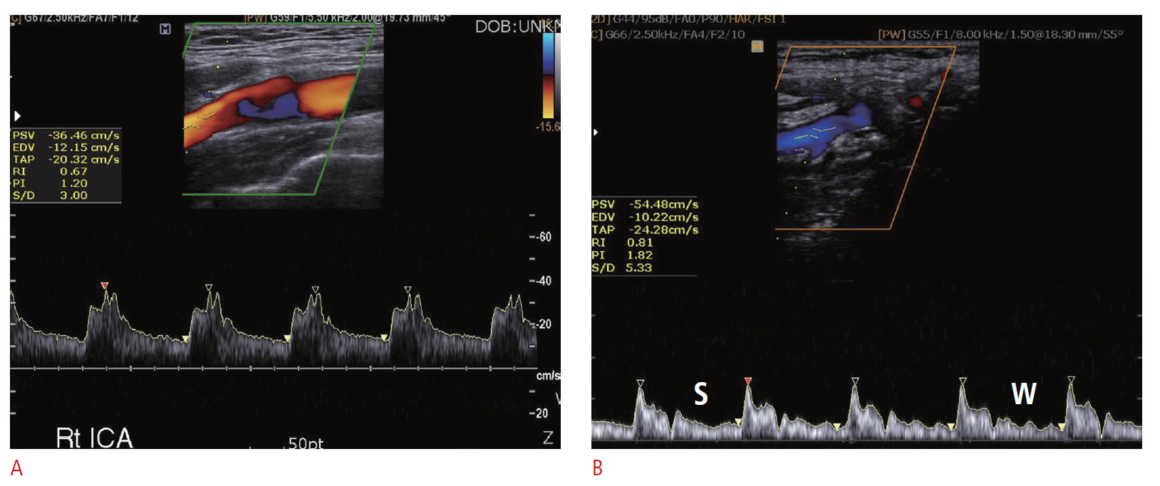
Carotid Doppler ultrasonography is a popular tool for evaluating atherosclerosis of the carotid artery. Its two-dimensional gray scale can be used for measuring the intima-media thickness, which is very good biomarker for atherosclerosis and can aid in plaque characterization. The plaque morphology is related to the risk of stroke. The ulceration of plaque is also known as one of the strong predictors of future embolic event risk. Color Doppler ultrasonography and pulse Doppler ultrasonography have been used for detecting carotid artery stenosis. Doppler ultrasonography has unique physical properties. The operator should be familiar with the physics and other parameters of Doppler ultrasonography to perform optimal Doppler ultrasonography studies.

Keyword

Carotid arteries; Atherosclerosis; Ultrasonography; Ultrasonography, Doppler; Plaque, atherosclerotic

MeSH Terms

Atherosclerosis
Carotid Arteries
Carotid Stenosis
Plaque, Atherosclerotic
Stroke
Ulcer
Ultrasonography
Ultrasonography, Doppler*
Ultrasonography, Doppler, Color
Full Text Links
  • USG
Actions
Cited
CITED
export Copy
Close
Share
  • Twitter
  • Facebook
Similar articles
Copyright © 2026 by Korean Association of Medical Journal Editors. All rights reserved.     E-mail: koreamed@kamje.or.kr