Skip Navigation
Skip to contents

J Korean Foot Ankle Soc.  2025 Mar;29(1):34-40. 10.14193/jkfas.2025.29.1.34.

Comprehensive Management of Presumed Underlying Charcot Arthropathy with a Subsequent Traumatic Ankle Fracture in a Patient with Diabetes Mellitus, End-Stage Renal Disease: A Case Report

Affiliations
  • 1Department of Orthopedic Surgery, Chung-Ang University Hospital, Chung-Ang University College of Medicine, Seoul, Korea
  • 2Department of Orthopedic Surgery, Chung-Ang University Gwangmyeong Hospital, Chung-Ang University College of Medicine, Gwangmyeong, Korea

Abstract

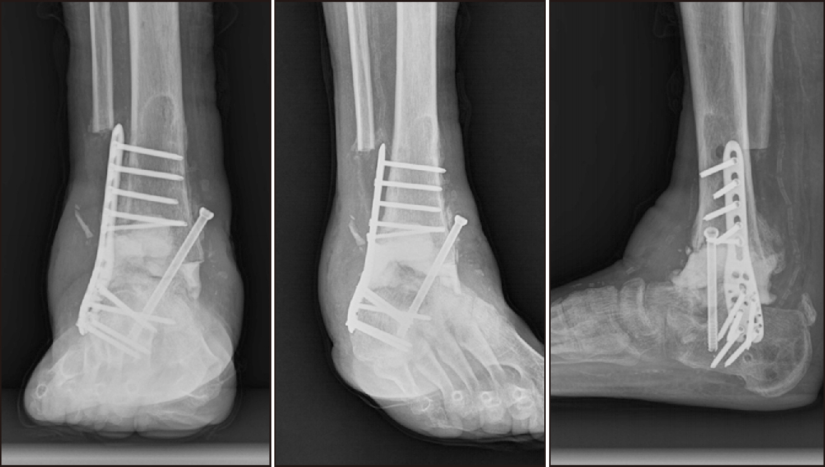
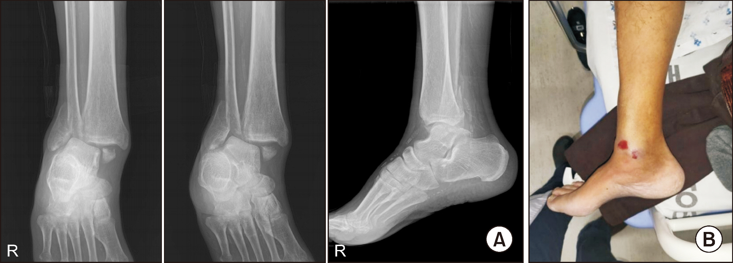
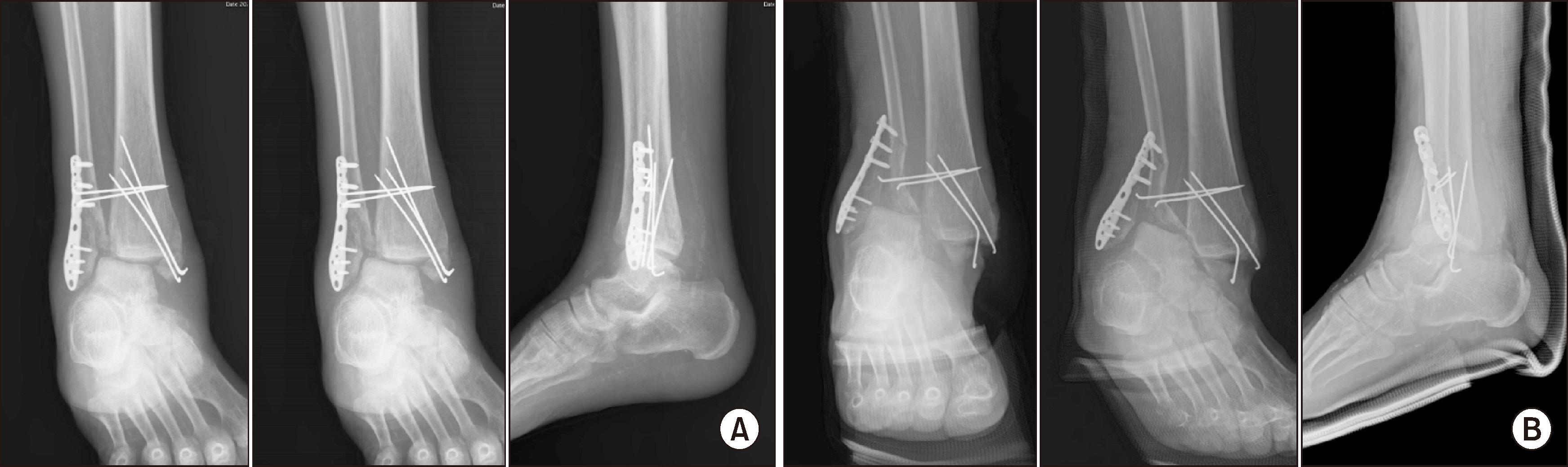
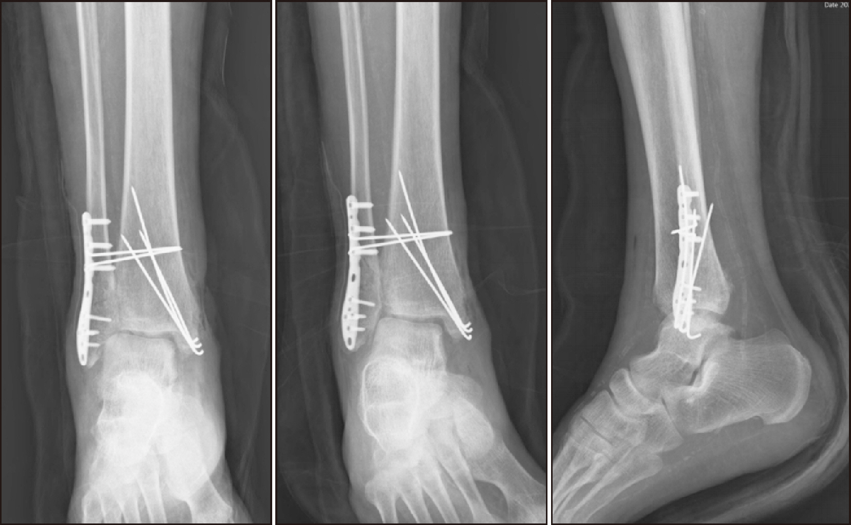
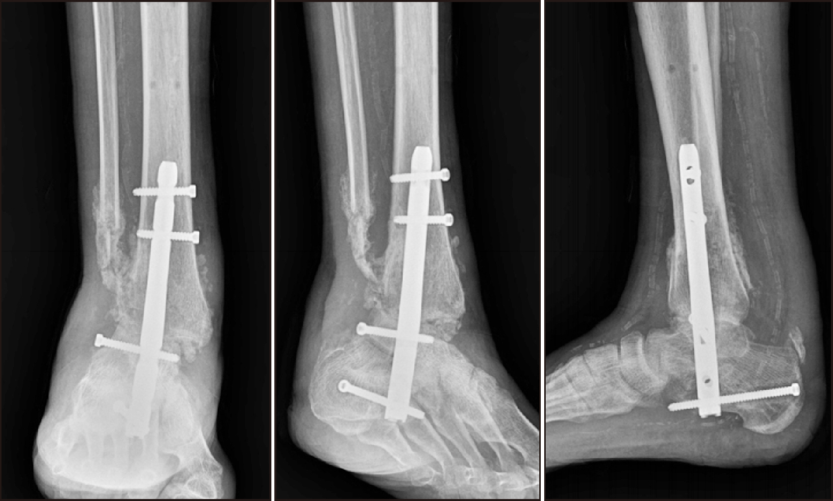
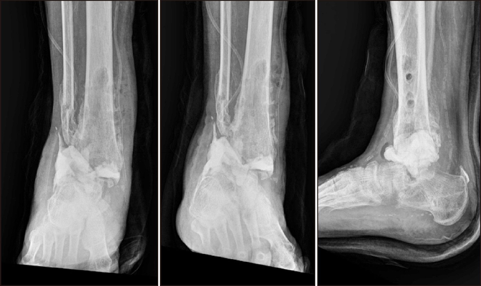
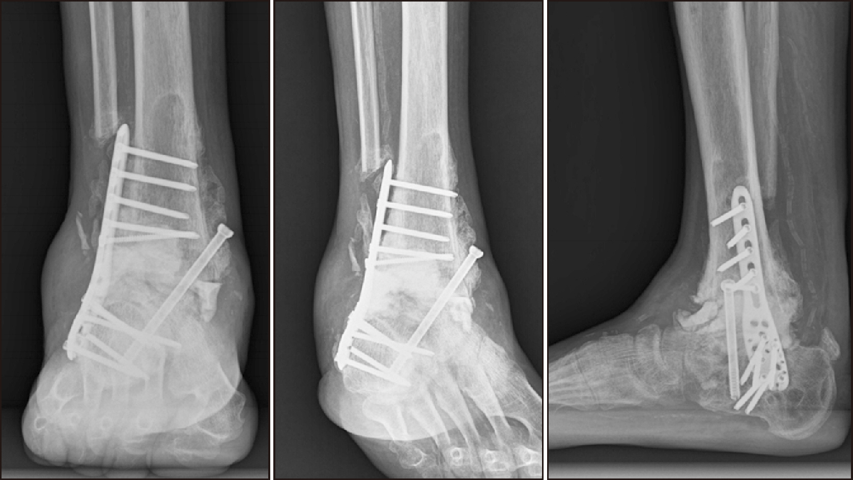
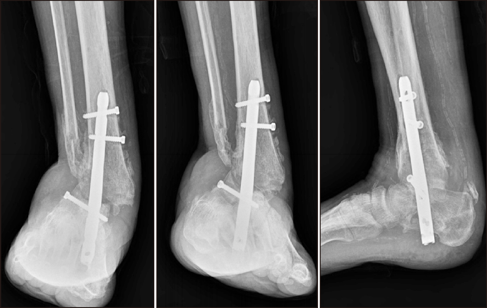
Charcot neuroarthropathy (CN), also known as Charcot arthropathy, is a complex, progressive disorder primarily affecting the foot and ankle. This case report describes a multifaceted management strategy for a 54-year-old male with diabetes mellitus, end-stage renal disease, and presumed underlying Charcot arthropathy who experienced a traumatic ankle fracture. The initial surgical plans were delayed because of systemic infection indicators, including elevated C-reactive protein levels and high fever. The patient underwent multiple surgical interventions and faced challenges, including metal failure, implant-associated infection, and tibiotalar joint dislocation. A multidisciplinary approach involving orthopedic surgeons, nephrologists, and endocrinologists was crucial for managing the case effectively. In particular, the patient declined a below-knee amputation and opted for comprehensive surgical intervention, resulting in improved functionality at the latest follow-up. This case highlights the complexities of managing CN in patients with multiple comorbidities and emphasizes the need for a nuanced, patient-centered approach.

Keyword

Charcot neuroarthropathy; Tibiotalocalcaneal fusion; Traumatic ankle fracture; Multidisciplinary approach; Patient-centered care
Full Text Links
  • JKFAS
Actions
Cited
CITED
export Copy
Close
Share
  • Twitter
  • Facebook
Similar articles
Copyright © 2026 by Korean Association of Medical Journal Editors. All rights reserved.     E-mail: koreamed@kamje.or.kr